
Ultrazvuková vyšetření
Milé nastávající maminky, naše centrum vám nabízí jak všechna základní screeningová vyšetření, tak i speciální vyšetření určená pro riziková těhotenství nebo vyšetření zaměřená podle vašich častých přání.
Milé nastávající maminky, naše centrum vám nabízí jak všechna základní screeningová vyšetření, tak i speciální vyšetření určená pro riziková těhotenství nebo vyšetření zaměřená podle vašich častých přání.
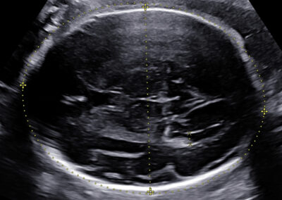
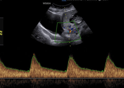
Používáme špičkové přístroje a všichni naši lékaři jsou držiteli certifikátu Fetal Medicine Foundation (FMF) na všechny typy ultrazvukových vyšetření v těhotenství. Při vyšetření miminka se vždy řídíme FMF protokoly, prohlížíme i drobné detaily a ke zpřesnění používáme kombinaci 2D a 3D ultrazvuku. V průběhu vyšetření vám vždy vysvětlujeme, co právě vyšetřujeme a co s námi můžete vidět na monitoru. Po skončení vyšetření vám srozumitelně vysvětlíme výsledky (a případně závažnost situace) a navrhneme další postup.
Každé z vás věnujeme dostatek času, přistupujeme k vám individuálně a respektujeme vaše rozhodnutí ohledně volby dalšího postupu. Přítomnost partnera či někoho blízkého je u nás samozřejmostí. Po vyšetření od nás vždy obdržíte podrobnou zprávu elektronicky, u většiny vyšetření i fotografie miminka a případně DVD záznam na námi poskytnuté médium. Ultrazvukového vyšetření se nemusíte obávat, žádným způsobem neohrožuje zdraví a život váš, ani vašeho miminka.
Základní ultrazvuková vyšetření
Vyšetření časného těhotenství NT screening Downova syndromu v 1.trimestru Screening vrozených vad ve 2. trimestru Screening ve 3. trimestru
Speciální (konziliární) vyšetření
Genetický ultrazvuk Fetální echokardiografie Dopplerovské vyšetření krevního oběhu miminka a placenty Screening předčasného porodu Screening preeklampsie a zaostávání růstu miminka Vyšetření vícečetných těhotenství 3D-4D ultrazvuk Určení pohlaví miminka
Detailní oblasti











