
Screening preeklampsie a zaostávání růstu miminka
Screening preeklampsie maminky a zaostávání růstu miminka v 1. trimestru Cílem screeningu preeklampsie a tzv. růstové restrikce je určit riziko rozvoje preeklampsie u maminky a zaostávání růstu miminka ve druhé polovině těhotenství. Toto vyšetření se provádí mezi 11. a 14. týdnem těhotenství a je součástí vyšetření u maminek, které u nás podstupují NT screening v prvním trimestru . Je možné se na něj však samozřejmě objednat i samostatně. Riziko preeklampsie a zpomalení růstu miminka se vypočítává podle:
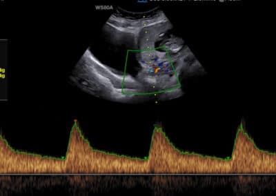
Dopplerovské vyšetření průtoku krve v děložní tepně maminky (arteria uterina) ve 12.týdnu těhotenství


Screening preeklampsie maminky a zaostávání růstu miminka v 1. trimestru Cílem screeningu preeklampsie a tzv. růstové restrikce je určit riziko rozvoje preeklampsie u maminky a zaostávání růstu miminka ve druhé polovině těhotenství. Toto vyšetření se provádí mezi 11. a 14. týdnem těhotenství a je součástí vyšetření u maminek, které u nás podstupují NT screening v prvním trimestru . Je možné se na něj však samozřejmě objednat i samostatně. Riziko preeklampsie a zpomalení růstu miminka se vypočítává podle:
anamnestických údajů maminky (výška, váha, kouření, cukrovka, vysoký krevní tlak, předchozí těhotenství, autoimunitní onemocnění) krevního tlaku maminky v den vyšetření změřeného dvakrát na každé ruce vyšetření koncentrace PAPP-A (a případně PlGF) v krvi maminky Dopplerovského vyšetření děložních tepen maminky
Po skončení vyšetření vám srozumitelně vysvětlíme výsledek a navrhneme další postup. Zvýšené riziko preeklampsie a/nebo zpomalení růstu miminka lze snížit užíváním 150 mg kyseliny acetylsalicylové (na noc před ulehnutím od prvního trimestru až do 36. týdne těhotenství). Při zvýšeném riziku zpomalení růstu jsou navíc vhodné pravidelné kontroly růstu miminka ve druhé polovině těhotenství, které vám rádi zajistíme v našem centru. Při zvýšeném riziku preeklampsie maminky jsou vhodné pečlivé kontroly krevního tlaku u ošetřujícího gynekologa, ideálním řešením při hraničních hodnotách je pořídit si tlakoměr domů a pravidelně si kontrolovat tlak.
Celé vyšetření, provádí-li se samostatně, trvá s vysvětlením výsledků okolo 15 minut, přítomnost partnera či někoho blízkého je u nás samozřejmostí. Z vyšetření od nás obdržíte podrobnou zprávu, buď v elektronické nebo tištěné podobě.
Chcete-li se o Screeningu preeklampsie a zpomalení růstu miminka dozvědět více, přečtěte si odpovědi na nejčastěji kladené otázky.
Často kladené otázky
Co je to preeklampsie a jak často k ní dochází? Preeklampsie je závažné onemocnění maminky, ke kterému dochází obvykle ve druhé polovině těhotenství a ohrožuje nejen maminku, ale i miminko. Výjimečně může tato nemoc vzniknout i v průběhu šestinedělí, bez přímé souvislosti s těhotenstvím k ní však nedochází. Projevuje se zvýšeným krevním tlakem (více než 140/90), bílkovinou v moči a otoky. Maminka může navíc začít pociťovat jako příznak vznikajícího onemocnění silnou bolest hlavy se zdvojeným viděním, svalové záškuby a křeče, bolest v podžebří, s nevolností až zvracením.
Preeklampsie patří k hlavním příčinám úmrtí maminky a miminka v období těhotenství, porodu a do týdne po porodu. Komplikuje přibližně 5 % těhotenství.
Preeklampsie lze rozdělit na dvě velké skupiny:
předčasná preeklampsie – komplikuje v České republice 0.5-1 % těhotenství, je u ní nutno porodit miminko před 37. týdnem těhotenství. Tato forma je závažnější, protože je nutné kvůli záchraně maminky nebo miminka vést porod ještě v době, kdy je miminko nedostatečně zralé. termínová preeklampsie – komplikuje v České republice 2-3 % těhotenství, je u ní možné porodit miminko ve 37. týdnu a později.
Jaké riziko představuje preeklampsie pro maminku a miminko? Nepoznaná a neléčená preeklampsie může u maminky vyústit až v tzv. eklampsii, kterou je křečový stav se ztrátou vědomí až úmrtím.
U miminka dochází často při preeklampsii k zaostávání růstu kvůli nedostatečné funkci placenty a tím sníženému přísunu živin a kyslíku. Pokud se funkce placenty dále zhoršuje a miminku začne kvůli nedostatku živin selhávat krevní oběh, může až odumřít. Navíc, velmi zvýšený krevní tlak maminky zvyšuje riziko náhlého odloučení placenty a tím náhlého úmrtí miminka.
Co je to zaostávání růstu miminka (tzv. růstová restrikce) a jak často k němu dochází? Je to postupné zpomalování růstu a hmotnosti miminka pod hodnoty, které jsou při daném stáří těhotenství obvyklé. Miminko špatně roste kvůli snížené funkci placenty a nedostatečnému zásobení jeho organismu kyslíkem a živinami. Jaké riziko představuje zaostávání růstu pro miminko? Miminko postupně strádá kvůli nedostatečnému zásobení jeho organismu kyslíkem a živinami, dochází ke změnám průtoku krve v jeho oběhu a je ohroženo úmrtím a trvalým poškozením zdraví při přežití. Proč k preeklampsii a zaostávání růstu miminka dochází? Za společnou příčinu je považováno nedostatečné „uhnízdění” placenty do děložní stěny v časných stádiích těhotenství. U preeklampsie začínající po 37. týdnu těhotenství jsou navíc předpokládány genetická a zdravotní predispozice ke vzniku onemocnění.
Je možné snížit riziko vzniku preeklampsie u maminky a zaostávání růstu miminka? Ano, pokud se při screeningu zjistí, že je riziko vyšší než 1 %, může denní užívání 150 mg kyseliny acetylsalicylové (ANOPYRIN, GODASAL) zásadně snížit riziko rozvoje preeklampsie u budoucí maminky a zaostávání růstu miminka . Užívání kyselinu acetylsalicylové je ale nutné zahájit před 16. týdnem těhotenství a užívá se 1.5 tablety na noc před ulehnutím ke spánku. Kdy se provádí a komu se doporučuje provedení screeningu preeklampsie a zaostávání růstu miminka? Toto vyšetření je vhodné provést mezi 11.-14. týdnem těhotenství u všech maminek. Může screening preeklampsie maminky a zaostávání růstu miminka provádět každý gynekolog? Ne, screening preeklampsie a zaostávání růstu miminka by měl vždy provádět lékař s certifikátem od Fetal Medicine Foundation v Londýně. Seznam všech českých FMF certifikovaných lékařů najdete ZDE .
Proč jít na screening preeklampsie maminky a zaostávání růstu miminka k nám a ne jinam? Protože vy i vaše miminko dostanete péči na špičkové úrovni, kterou si zasloužíte. Používáme nejmodernější přístroje a naši lékaři jsou držiteli certifikátu Fetal Medicine Foundation na Screening preeklampsie.
Jsme nestátní zdravotnické zařízení a klientky si u nás cení nadstandardní péče, příjemného prostředí a laskavého a vysoce odborného přístupu. Každé mamince věnujeme dostatek času, přistupujeme k ní individuálně a respektujeme všechna její rozhodnutí. Jak u nás probíhá Screening předčasného porodu? Zkontrolujeme či vyplníme vaše osobní a anamnestické údaje se zvláštním zřetelem na skutečnosti zvyšující riziko předčasného porodu (výška, váha, kouření, cukrovka, vysoký krevní tlak, předchozí těhotenství, autoimunitní onemocnění). Necháme vás se zvážit a změříme vám na obou pažích dvakrát krevní tlak. Ultrazvukové vyšetření provádíme přes břišní stěnu při plnějším močovém měchýři. Po skončení vyšetření vám srozumitelně vysvětlíme výsledek a navrhneme další postup. Zvýšené riziko preeklampsie nebo zpomalení růstu miminka lze snížit na polovinu denním užíváním 150 mg kyseliny acetylsalicylové (na noc před ulehnutím od prvního trimestru až do 36. týdne těhotenství). Při zvýšeném riziku zpomalení růstu miminka jsou navíc vhodné pravidelné kontroly růstu miminka ve druhé polovině těhotenství, které vám rádi zajistíme v našem centru. Co od nás z vyšetření dostanete? Z vyšetření od nás obdržíte do týdne elektronicky podrobnou zprávu.
