
Dopplerovské vyšetření krevního oběhu miminka a placenty
Dopplerovské vyšetření krevního oběhu miminka a placenty Cílem Dopplerovského vyšetření krevního oběhu miminka a placenty je zhodnotit funkci placenty a pokud je snížena, pak zjistit, jak se vyrovnává se sníženým přísunem živin a kyslíku miminko, zda není ohroženo jeho zdraví či dokonce život.
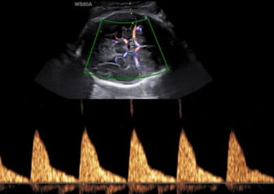
Dopplerovské vyšetření průtoku krve v pupečníkové tepně (arteria umbilicalis)

Dopplerovské vyšetření průtoku v arteria cerebri media

Dopplerovské vyšetření průtoku ductus venosus
Dopplerovské vyšetření krevního oběhu miminka a placenty Cílem Dopplerovského vyšetření krevního oběhu miminka a placenty je zhodnotit funkci placenty a pokud je snížena, pak zjistit, jak se vyrovnává se sníženým přísunem živin a kyslíku miminko, zda není ohroženo jeho zdraví či dokonce život.
Toto vyšetření se provádí při zjištění menší velikosti miminka a umožní jako jediné rozlišit, zda se jedná pouze o konstitučně menší miminko (obvykle v souvislosti s menší velikostí rodičů a miminek v rodině), nebo zda dochází ke snižování funkce placenty a miminko je menší, protože nedostává dostatek živin a kyslíku. Funkce placenty může být snížena pouze mírně s porodem miminka v běžném termínu. Pokud se však situace dále zhoršuje a dochází k selhávání krevního oběhu miminka, je jediným možným řešením předčasný porod miminka.
Během vyšetření vám v našem centru vysvětlujeme, co právě vyšetřujeme. Vše můžete s námi vidět na monitoru. Po skončení vyšetření vám srozumitelně vysvětlíme výsledky a závažnost situace a navrhneme další postup. Pravidelné kontroly vývoje situace vám rádi zajistíme v našem centru, při nutnosti brzkého porodu miminka vás odešleme do některé ze s námi spolupracujících velkých porodnic (ÚPMD Podolí, Apolinář, FN Motol) k dalšímu řešení. Příjem ve specializované velké porodnici v Praze vám domluvíme i v případě, že na daném pracovišti nebudete registrovány k porodu. Celé vyšetření s vysvětlením výsledků trvá 15-20 minut, přítomnost partnera či někoho blízkého je u nás samozřejmostí. Z vyšetření od nás obdržíte podrobnou zprávu, kterou vám do týdne zašleme elektronicky.
Chcete-li se o Dopplerovském vyšetření krevního oběhu dozvědět více, přečtěte si odpovědi na nejčastěji kladené otázky.
Často kladené otázky
Co je to Dopplerovské vyšetření? Dopplerovské vyšetření je speciální typ ultrazvukového vyšetření, který se používá především k zobrazení průtoku krve, a to buď prostřednictvím barvy (tzv. barevné mapování) nebo křivky (tzv. pulzní vlna). Komu se doporučuje provedení Dopplerovského vyšetření krevního oběhu plodu a placenty? Toto vyšetření je velmi důležité u všech těhotenství, kde je zjištěno větší zpomalení růstu miminka. Pokud je totiž hmotnost miminka menší, než je v daném stáří miminka očekáváno, jen Dopplerovské vyšetření pomůže rozlišit, zda se jedná pouze o konstitučně menší miminko (obvykle v souvislosti s menší velikostí rodičů a miminek v rodině), nebo zda dochází ke snižování funkce placenty a miminko je menší, protože nedostává dostatek živin a kyslíku. Jaké cévy se při Dopplerovském vyšetření krevního oběhu placenty a plodu vyšetřují? Funkce placenty se hodnotí vyšetřením průtoku krve v pravé a levé děložní tepně (arteria uterina). Stav krevního oběhu miminka se hodnotí vyšetřením průtoku krve v pupečníkové tepně (artria umbilicalis), střední mozkové tepně (arteria cerebri media) a v ductus venosus (céva přítomna pouze před narozením). Může Dopplerovské vyšetření provádět každý gynekolog? Dopplerovské vyšetření je složitější a nelze provádět na všech ultrazvukových přístrojích. Komplexní hodnocení všech potřebných cév proto zpravidla provádějí pouze lékaři ve specializovaných centrech. I na toto vyšetření existuje certifikát od Fetal Medicine Foundation v Londýně. Seznam všech českých FMF certifikovaných lékařů najdete ZDE .
Proč jít na Dopplerovské vyšetření krevního oběhu miminka a placenty k nám a ne jinam? Protože vy i vaše miminko dostanete péči na špičkové úrovni, kterou si zasloužíte. Používáme nejmodernější přístroje a všichni naši lékaři jsou držiteli certifikátu Fetal Medicine Foundation na Dopplerovské ultrazvukové vyšetření. Vyšetřujeme všechny potřebné cévy a máme velké zkušenosti s hodnocením závažnosti situace. Při nutnosti brzkého porodu miminka vás odešleme do některé ze s námi spolupracujících velkých porodnic a zajistíme vaše přijetí i bez předchozí registrace k porodu.
Jsme nestátní zdravotnické zařízení a klientky si u nás cení nadstandardní péče, příjemného prostředí a laskavého a vysoce odborného přístupu. Každé mamince věnujeme dostatek času, přistupujeme k ní individuálně a respektujeme každé její rozhodnutí. Jak u nás probíhá Dopplerovské vyšetření krevního oběhu miminka a placenty? Podíváme se na vaše osobní a anamnestické údaje a výsledky všech předchozích vyšetření. Ultrazvukové vyšetření provádíme přes břišní stěnu. Vyšetříme postupně průtok krve v cévách placenty a miminka, průběžně vám přitom vysvětlujeme, co vyšetřujeme. Vše můžete s námi vidět na monitoru. Po skončení vyšetření vám srozumitelně vysvětlíme výsledky a závažnost situace a navrhneme další postup. Pravidelné kontroly vývoje situace vám rádi zajistíme v našem centru, při nutnosti brzkého porodu miminka vás odešleme do některé ze s námi spolupracujících velkých porodnic (ÚPMD Podolí, Apolinář, FN Motol) k dalšímu řešení. Příjem ve specializované velké porodnici v Praze vám domluvíme i v případě, že na daném pracovišti nebudete registrovány k porodu. Co od nás z vyšetření dostanete? Z vyšetření od nás obdržíte do týdne elektronicky podrobnou zprávu.
