
NT screening Downova syndormu v 1. trimestru
NT screening Downova syndromu a dalších vad plodu ve 12. – 14. týdnu těhotenství NT screening v 1. trimestru se provádí mezi 12. a 14. týdnem těhotenství a jeho hlavním cílem je určit riziko postižení miminka Downovým syndromem. Detailním vyšetřením lze ale zjistit i řadu dalších věcí.
NT screening Downova syndromu v 1. trimestru

Vyšetření NT (šíjového projasnění)

Vyšetření nosní kůstky

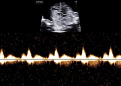
Dopplerovské vyšetření trojcípé srdeční chlopně budoucího miminka

Dopplerovské vyšetření ductus venosus
NT screening Downova syndromu a dalších vad plodu ve 12. – 14. týdnu těhotenství NT screening v 1. trimestru se provádí mezi 12. a 14. týdnem těhotenství a jeho hlavním cílem je určit riziko postižení miminka Downovým syndromem. Detailním vyšetřením lze ale zjistit i řadu dalších věcí.
Při NT screeningu v 1. trimestru vám v našem centru vyšetříme:
umístění placenty v děloze a množství plodové vody dle velikosti CRL miminka (vzdálenost temeno–kostrč) upřesníme jeho stáří a předpokládaný termín porodu určíme riziko postižení miminka Downovým syndromem, a to kombinací anamnestických údajů, vyšetření látek v krvi maminky (PAPP-A a free-beta HCG) a ultrazvukového vyšetřením znaků Downova syndromu u miminka: NT-šíjového projasnění, nosní kůstky a průtoku krve na trojcípé chlopni a v ductus venosus určíme riziko postižení miminka dalšími častými genetickými vadami (Edwardsův syndrom, Patauův syndrom, triploidie) vyšetříme všechny orgány miminka určíme riziko pozdějších komplikací těhotenství, jakými jsou onemocnění u budoucí maminky nazývaného preeklampsie a růstové restrikce (zaostávání růstu) u miminka
Během ultrazvukového vyšetření popisujeme, co vyšetřujeme a co s námi můžete pozorovat na monitoru. Budete-li si přát připojit 3D-4D ultrazvukové vyšetření s reálným zobrazením vzhledu miminka , rádi jej připojíme.
Po skončení ultrazvukového vyšetření vypočítáme přímo před vámi riziko možného postižení miminka genetickými vadami, riziko vzniku preeklampsie u maminky a riziko poruchy růstu miminka.
Výsledky vyšetření vám srozumitelně vysvětlíme a při abnormálním výsledku s vámi probereme možnosti dalšího postupu. Pokud se rozhodnete pro provedení invazivního výkonu , provedeme jej obvykle ten samý den na našem pracovišti. Pokud budete preferovat provedení jiných upřesňujících testů, rádi vám je bez problémů zajistíme přímo v našem centru.
Celé vyšetření s vysvětlením výsledků trvá okolo 45 minut, přítomnost partnera či někoho blízkého je u nás samozřejmostí. Z vyšetření si od nás odnesete dvě fotografie miminka. Podrobnou zprávu vám do týdne zašleme elektronicky.
Chcete-li se o screeningu v prvním trimestru dozvědět více, přečtěte si odpovědi na nejčastěji kladené otázky.
Další vhodné vyšetření:
Screening orgánových vad ve 2. trimestru Genetický ultrazvuk
Často kladené otázky
Co je to Downův syndrom? Downův syndrom je nejčastější genetickou vadou a zároveň nejčastější příčinou opoždění duševního vývoje u lidí. Je způsoben poruchou počtu chromozomů č. 21, které jsou tři místo běžných dvou. Ve 3. měsíci těhotenství je tímto onemocněním postiženo přibližně 1 z 500 miminek.
Tato vada vzniká nejčastěji úplně na začátku těhotenství, respektive při splynutí vajíčka se spermií. Velmi vzácně (asi v 1 % případů Downova syndromu) vzniká tato anomálie až při pozdějším dělení zárodečných buněk, a proto je nadbytečný chromozom přítomen jen v některých buňkách těla. V tomto případě se jedná o takzvaný „mozaicismus“. Každá buňka osoby s Downovým syndromem obsahuje tři chromozomy (místo obvyklých dvou) č.21. Proto se Downův syndrom označuje také jako trizomie (ztrojení) 21. chromozomu, zkráceně trizomie 21.
Vznik Downova syndromu je zpravidla naprosto náhodný. To znamená, že porucha se může u miminka projevit i přesto, že nikdo z rodiny těhotné ženy ani jejího partnera nebyl touto vadou postižen. Pokud v blízkém příbuzenstvu byl jedinec s Downovým syndromem, stoupá riziko této vady u daného těhotenství pouze o přibližně 0,75 % a existuje tedy velká šance na početí zdravého miminka.
Riziko výskytu Downova syndromu stoupá s věkem těhotné ženy, ale neplatí, že by se dítě s Downovým syndromem mohlo narodit pouze starším matkám. Přibližně polovina dětí s Downovým syndromem se v současné době rodí těhotným ženám mladším 35 let.
Více informací o Downově syndromu, najdete na těchto stránkách www.downsyndrom.cz .
Proč screening v 1. trimestru (12.–14. týdnu)? Prvotrimestrální screening je nejpřesnější test, kterým lze určit riziko postižení budoucího miminka Downovým syndromem. Umožňuje totiž pomocí kombinace věku maminky, krevního testu z mateřské krve a ultrazvukového vyšetření miminka již ve 12.–14. týdnu odhalit 90–98 % miminek trpících Downovým syndromem. Je tedy mnohem přesnější než biochemický screening (tzv. triple test) z krve maminky prováděný ve druhém trimestru těhotenství, který rozpozná pouze 60–65 % miminek s Downovým syndromem. Kromě toho je možné již v tuto dobu při ultrazvukovém vyšetření rozpoznat okolo 50 % orgánových vad a určit riziko zaostávání růstu miminka a vzniku onemocnění nazývaného preeklampsie u nastávající maminky. Co znamená screening kombinovaný s testem v prvním trimestru? Kombinovaný test znamená, že provedeme krevní test budoucí maminky v kombinaci s ultrazvukovým vyšetřením jejího miminka.
Nejvíce je rozšířen prvotrimestrální screening tzv. základním kombinovaným testem (v České republice také nazývaný NT screeningový nebo NT+ test), který umožňuje rozpoznat přibližně 90 % miminek postižených Downovým syndromem. Při tomto testu se riziko postižení plodu Downovým syndromem vypočítává z:
věku maminky stáří budoucího miminka srdeční frekvence u miminka velikosti NT (nuchální translucence, respektive šíjového projasnění, což znamená, že změříme množství tekutiny nahromaděné v podkoží v oblasti šíje miminka) koncentrace dvou hormonů v krvi maminky (free-ß-hCG & PAPP-A)
Ještě přesnější než základní kombinovaný test je rozšířený kombinovaný test, který díky vyšetření více ultrazvukových znaků Downova syndromu umožňuje rozpoznat dokonce 98 % postižených plodů. Při rozšířeném prvotrimestrálním screeningu Downova syndromu se riziko postižení plodu vypočítává z:
věku maminky stáří budoucího miminka srdeční frekvence u miminka velikosti NT (nuchální translucence, respektive šíjového projasnění, tzn. znamená změření množství tekutiny nahromaděné v podkoží v oblasti šíje miminka) (velikost „nuchální translucence“) koncentraci dvou hormonů v krvi maminky (free-ß-hCG & PAPP-A) přítomnosti/chybění nosní kůstky plodu normálního nebo abnormálního průtoku krve (výskytu trikuspidální regurgitace) na trojcípé srdeční chlopni miminka normálního nebo abnormálního průtoku (zvýšené hodnoty PI, tzn. indexu pulzatility) v ductus venosus miminka
Co znamená pozitivní a negativní výsledek screeningu Downova syndromu? Protože se při screeningu Downova syndromu určuje pouze riziko genetických vad, jeho pozitivní výsledek neznamená přímo výskyt onemocnění, ale pouze zvýšenou pravděpodobnost výskytu. Za zvýšené riziko je většinou považováno riziko vyšší než 1:300, tzn. 0,33 %.
Negativní výsledek znamená nízkou pravděpodobnost postižení plodu Downovým syndromem, ale bohužel nevylučuje toto onemocnění se 100% jistotou. Co když je výsledek screeningu pozitivní? Mamince je při pozitivním výsledku screeningu nabídnut diagnostický test, který se 100% jistotou potvrdí či vyloučí postižení miminka. Jedná se o invazivní výkon, tzn. v prvním trimestru CVS (odběr choriových klků placenty) a ve 2. trimestru amniocentézu (odběr plodové vody). Kromě diagnostického testu je s maminkou také prodiskutována možnost provedení jiných upřesňujících testů ( genetický ultrazvuk a NIPT test ), které riziko postižení miminka ještě upřesní, tzn. jejich výsledek riziko sníží nebo jej zvýší.
Co když je při screeningu zjištěno zvýšené riziko poruchy růstu miminka a preeklampsie u maminky? Pokud je riziko zvýšeno, tzn. nad 1 % , je mamince doporučeno užívat již od 12. –14. týdne denně před ulehnutím 150 mg kyseliny acetylsalicylové (Stacyl, Anopyrin, Aspirin). Tento lék je volně prodejný a snižuje riziko výskytu těchto komplikací na polovinu. Navíc jsou doporučeny pravidelné kontroly růstu miminka ve třetím trimestru a pečlivé kontroly krevního tlaku a moči maminky v prenatální poradně.
Co znamená preeklampsie? Preeklampsie je onemocnění budoucí maminky. Vyskytuje se pouze v těhotenství a spočívá v kombinaci zvýšeného až hodně vysokého krevního tlaku, bílkoviny v moči a otoků. Pokud se včas nezachytí a neléčí, může vést až ke křečovému stavu, ztrátě vědomí a úmrtí. Protože jedinou zásadní léčbou je porod, snažíme se ho pomocí léků co nejvíce oddálit. Zároveň jsou maminky s tímto onemocněním pravidelně kontrolovány. V závažných případech je ale porod jediným řešením, a to i v případě, že je předčasný. Může prvotrimestrální screening provádět každý gynekolog? Prvotrimestrální screening by měl vždy provádět lékař s certifikátem od Fetal Medicine Foundation. Seznam všech českých FMF certifikovaných lékařů najdete ZDE .
Proč jít na NT screening v 1. trimestru k nám a ne jinam? Protože vy i vaše miminko dostanete péči na úrovni, kterou si zasloužíte. Používáme špičkové přístroje a všichni naši lékaři jsou držiteli certifikátů Fetal Medicine Foundation na vyšetření všech znaků Downova syndromu. Klientky si u nás cení zejména nadstandardní péče, příjemného prostředí a laskavého a vysoce odborného přístupu. Každé mamince věnujeme dostatek času, přistupujeme k ní individuálně a respektujeme její přání.
Díky vyšetření čtyř ultrazvukových a dvou krevních znaků Downova syndromu a dalších genetických vad dovedeme s 98% jistotou vyloučit, že miminko netrpí geetickou vadou (na jiných pracovištích je zpravidla ultrazvukem vyšetřován jen jeden znak Downova syndromu a rozpozná se proto pouze 90 % plodů postižených Downovým syndromem). Kromě screeningu Downova syndromu je vždy v ceně vyšetření i screening preeklampsie a zpomalení růstu miminka .
Jak u nás probíhá prvotrimestrální screening? Prvotrimestrální screening se u nás skládá z odběru anamnestických údajů, změření krevního tlaku, odběru krevního testu maminky a ultrazvukového vyšetření miminka.
Vzorek krve odebíráme mamince mezi 9. a 14. týdnem my nebo její gynekolog. Krev není nutné odebírat nalačno. V krvi hodnotíme koncentraci dvou hormonů produkovaných placentou (PAPP-A a free-beta-HCG).
Krevní tlak měříme před nebo po ultrazvukovém vyšetření. Ultrazvukové vyšetření obvykle provádíme přes břišní stěnu při naplněném močovém měchýři maminky. Změříme velikost miminka a jeho srdeční frekvenci, vyšetříme jeho orgány a zjistíme, zda se u něj vyskytují znaky zvyšující riziko Downova syndromu a jiných genetických vad. Ultrazvukem vyšetříme také polohu placenty a průtok krve v děložních tepnách maminky. Řídíme se zásadami Fetal Medicine Foundation v Londýně a všichni naši lékaři mají FMF certifikát na všechny typy ultrazvukových vyšetření v prvním trimestru.
Během ultrazvukového vyšetření popisujeme, co vyšetřujeme a co s námi můžete pozorovat na monitoru. Budete-li si přát připojit 3D-4D ultrazvukové vyšetření s reálným zobrazením vzhledu miminka , rádi jej připojíme.
Po skončení ultrazvukového vyšetření vypočítáme přímo před vámi riziko postižení miminka Downovým syndromem a dalšími častými genetickým vadami. Navíc vypočteme riziko vzniku preeklampsie maminky a poruchy růstu miminka (proklik)
Výsledky vyšetření a výši rizika vrozených vad miminka vám srozumitelně vysvětlíme a při abnormálním výsledku s vámi probereme možnosti dalšího postupu. Dokonalá znalost problému vám usnadní se rozhodnout, které z navrhovaných řešení je pro vás nejlepší. Pokud se rozhodnete pro vyšetření genetické výbavy miminka prostřednictvím diagnostického testu, tedy invazivního výkonu, provedeme jej co nejdříve na našem pracovišti. Pokud budete preferovat provedení dalších upřesňujících testů, všechny dostupné testy nabízíme a rádi vám je provedeme.
Celé vyšetření s vysvětlením výsledků trvá přibližně 45 minut, přítomnost partnera či někoho blízkého je u nás samozřejmostí.
Co od nás dostanete? Z vyšetření si od nás odnesete dvě fotografie miminka a do týdne vám zašleme elektronicky podrobnou zprávu.. Za příplatek vám rádi vytiskneme i další fotografie či pořídíme videozáznam na námi poskytnuté DVD. Přinesete-li si vlastní USB flash disk, vše nahrajeme tam. Disk musí být nepoužitý, chráníme se tím před zavirováním našich přístrojů. Jsou ještě jiné metody screeningu Downova syndromu než screening v prvním trimestru? Ano, existuje mnoho dalších metod screeningu, ale k jejich nevýhodám většinou patří:
nižší přesnost – ostatní testy rozeznávají méně postižených plodů a jejich výsledky jsou častěji falešně pozitivní u zdravých těhotenství (výjimku tvoří tzv. NIPT testy hodnotící DNA miminka v krvi maminky) pozdější výsledek – čím pokročilejší je těhotenství, tím obtížnější je jeho ukončení (integrovaný test, triple test, genetický ultrazvuk, výjimku tvoří tzv. NIPT testy hodnotící DNA miminka v krvi maminky) nevyšetřují orgány – u krevních testů chybí vyšetření vývoje orgánů budoucího miminka, a tudíž není možné včas rozpoznat těžké vrozené orgánové vady
