
Ultrazvukové vyšetření ženských orgánů
Vyšetříme vnitřní ženské pohlavní orgány (dělohu, vaječníky a vejcovody) a malou pánev. Protože je děloha umístěna v pánvi, provádí se toto vyšetření zpravidla tzv. vaginální sondou přes pochvu. Vyšetření není bolestivé ani nebezpečné a provádí se ideálně při prázdném močovém měchýři.
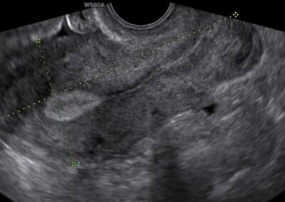
Ultrasound examination of the uterus

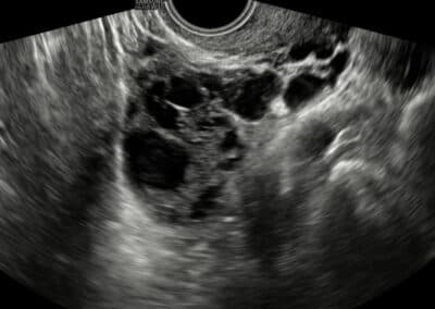
Ultrasound examination of the ovary
Vyšetříme vnitřní ženské pohlavní orgány (dělohu, vaječníky a vejcovody) a malou pánev. Protože je děloha umístěna v pánvi, provádí se toto vyšetření zpravidla tzv. vaginální sondou přes pochvu. Vyšetření není bolestivé ani nebezpečné a provádí se ideálně při prázdném močovém měchýři.
V naší ordinaci zajistíme:
ultrazvuková vyšetření u nás registrovaných žen v rámci jejich preventivních prohlídek i při klinických obtížích ultrazvuková vyšetření u žen registrovaných v jiných gynekologických ambulancích při nejasnostech nálezu a potřebě konzultace
