
Protokoly pro FMF certifikaci & audit
On-line teoretický kurz (e-teaching) o vyšetření v 11.-14. týdnu těhotenství na www.fetalmedicine.com (část Fetal Medicine Foundation- volba Training & Certification v menu na horní liště, následně položka Certificates of competence – volba modré položky Measurement of nuchal translucency) Elektronické zaslání tří snímků ze správného vyšetření NT dle FMF protokolu (viz protokol pro vyšetření níže), snímky mohou zobrazovat měření normální i abnormální hodnoty NT – nutná je správná pozice značek měření
Vyšetření NT
UZ vyšetření nuchální translucence dle FMF protokolu
Podmínky FMF certifikace pro vyšetření NT:
On-line teoretický kurz (e-teaching) o vyšetření v 11.-14. týdnu těhotenství na www.fetalmedicine.com (část Fetal Medicine Foundation- volba Training & Certification v menu na horní liště, následně položka Certificates of competence – volba modré položky Measurement of nuchal translucency) Elektronické zaslání tří snímků ze správného vyšetření NT dle FMF protokolu (viz protokol pro vyšetření níže), snímky mohou zobrazovat měření normální i abnormální hodnoty NT – nutná je správná pozice značek měření
Protokol pro správné vyšetření NT:
CRL 45-84 mm (11-13+6 týden) Přesná mid-sagitální rovina (echogenní špička nosu a patro vpředu, diencefalon v centru mozku a nuchální translucence vzadu, nesmí být vidět processus frontalis maxillae) Neutrální pozice Dostatečné zvětšení (hlava a hrudník plodu vyplňují většinu obrazovky) Snížení gainu při zvětšení Odlišení hranice NT od amnion Měření v místě nejvyšší hodnoty NT Umístění značek při měření uvnitř echogenních linek ohraničujících NT na jejich hranici s tekutinou Možnost využití polo-automatických softwarů na měření NT V přibližně 5% případů je pupečník okolo krku plodu a falešně zvyšuje hodnotu NT. V těchto případech je třeba změřit hodnotu NT nad a pod pupečníkem a použít pro kalkulaci rizika průměrnou hodnotu z obou měření Provést více měření, snímek s nejvyšší hodnotou zálohovat

Vyšetření nosní kůstky – nosní kůstka je přítomna

Vyšetření nosní kůstky – nosní kůstka není přítomna
UZ vyšetření nosní kůstky dle FMF protokolu
Podmínky FMF certifikace pro vyšetření nosní kůstky:
FMF certifikát na vyšetření NT (včetně absolvování on-line kurzu o vyšetření v 11.-14. týdnu těhotenství před získáním tohoto certifikátu) Úspěšné složení krátkého on-line testu týkajícího se hodnocení snímků zobrazujících vyšetření nosní kůstky Elektronické zaslání tří snímků ze správného vyšetření nosní kůstky s popisem zda je či není přítomna (není nutné zasílat abnormální nález)
Protokol pro správné vyšetření nosní kůstky:
CRL 45-84 mm (11-13+6 týden) Přesná mid-sagitální rovina (echogenní špička nosu a patro vpředu, diencefalon v centru mozku a nuchální translucence vzadu, nesmí být vidět processus frontalis maxillae) Zvětšení (hlava a hrudník plodu vyplňují většinu obrazovky) Paralelní průběh povrchu sondy s povrchem nosu Separace nosní kůstky od kůže (dvě echogenní linky) Echogenita nosní kůstky musí být při její přítomnosti vyšší než je echogenita kůže na povrchu nosu Pokud je linka nosní kůstky tenčí a méně echogenní než je linka povrchu kůže nosu, jedná se abnormální nález- nosní kůstka chybí

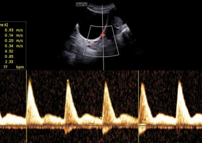
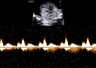
Dopplerovské vyšetření trojcípé srdeční chlopně – normální nález

Dopplerovské vyšetření trojcípé srdeční chlopně – trikuspidální regurgitace
UZ vyšetření trojcípé chlopně dle FMF protokolu
Podmínky FMF certifikace pro vyšetření trojcípé chlopně:
FMF certifikát na vyšetření NT (včetně absolvování on-line kurzu o vyšetření v 11.-14. týdnu těhotenství před získáním tohoto certifikátu) Úspěšné složení krátkého on-line testu týkajícího se hodnocení snímků zobrazujících vyšetření trikuspidální chlopně Zaslání tří snímků ze správného vyšetření trojcípé chlopně
Protokol pro správné vyšetření trojcípé chlopně:
CRL 45-84 mm (11-13+6 týden) Zvětšení (hrudník vyplňuje většinu obrazovky) Apikální čtyřdutinová projekce (hrot srdce směřuje směrem nahoru, ev. dolů na obrazovce) Gate 3mm přes trikuspidální chlopeň Odklon toku krve přes chlopeň 0-30º od vertikální osy Vysoká rychlost posunu křivky (2-3cm/s) Opakovat měření minimálně 3x Regurgitace na trojcípé chlopni je přítomna, pokud trvá minimálně polovinu systoly a její rychlost je vyšší než 60 (80) cm/s

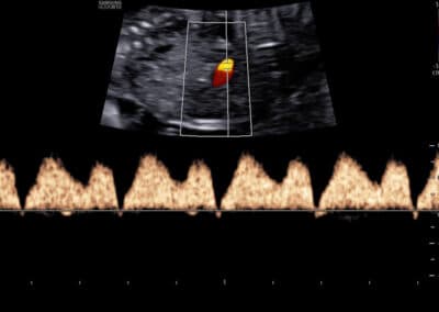
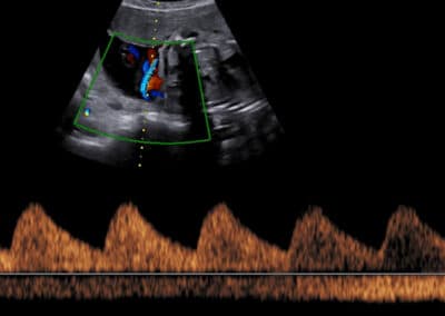
Dopplerovské vyšetření ductus venosus – normální nález (pozitivní a-vlna s PI do 1.3)

Dopplerovské vyšetření ductus venosus – abnormální nález (reverzní a-vlna s PI nad 1.3)
UZ vyšetření průtoku v ductus venosus dle FMF protokolu
Podmínky FMF certifikace pro vyšetření průtoku krve v ductus venosus:
FMF certifikát na vyšetření NT (včetně absolvování on-line kurzu o vyšetření v 11.-14. týdnu těhotenství před získáním tohoto certifikátu) Úspěšné složení krátkého on-line testu týkajícího se hodnocení snímků zobrazujících vyšetření ductus venosus Zaslání tří snímků ze správného vyšetření ductus venosus
Protokol pro správné Dopplerovské vyšetření průtoku krve v ductus venosus:
CRL 45-84 mm (11-13+6 týden) Vyšetření musí být provedeno během klidové fáze (absence pohybů) plodu Zvětšení (hrudník a břicho plodu vyplňují většinu obrazovky) Mid-sagitální řez tělem plodu, barevné Dopplerovské zobrazení toku krve v pupečníkové žíle, ductus venosus a v srdci Gate 0.5-1mm přes ductus venosus (místo aliasingu – světlé barvy při Dopplerovském vyšetření) Odklon průběhu v ductus venosus 0-30º od vertikální osy Nízký filtr (50-70 Hz) Vysoká rychlost posunu křivky (2-3cm/s)

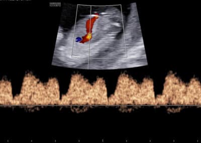
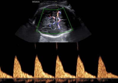
Dopplerovské vyšetření uterinních arterií v 11.-14. týdnu těhotenství
Měření PI (index pulsatility) v uterinních arteriích dle FMF protokolu
Podmínky FMF certifikace pro správné měření PI (index pulsatility) v uterinních arteriích:
FMF certifikát na vyšetření NT (včetně absolvování on-line kurzu o vyšetření v 11.-14. týdnu těhotenství před získáním tohoto certifikátu) Úspěšné složení krátkého on-line testu týkajícího se hodnocení snímků zobrazujících vyšetření ductus venosus Zaslání tří snímků ze správného vyšetření uterinních arterií
Protokol pro správné měření PI (index pulsatility) v uterinních arteriích:
CRL 45-84 mm (11-13+6 týden) Sagitální řez dělohou se zobrazením kanálu děložního hrdla a jeho vnitřní branky, následně mírné sklopení sondy a aplikace Dopplerovského barevného mapování za účelem identifikace uterinních arterií Měření PI (index pulsatility) v oblasti vnitřní branky Gate 2mm Odklon průběhu uterinních arterií 0-30º od vertikální osy Měření PI (index pulsatility) ze třech bezprostředně následujících podobných pulsních vln Kalkulace průměrného PI (index pulsatility) obou uterinních arterií

Ukázka správného logbooku snímků UZ vyšetření ve 20.-22. týdnu těhotenství
UZ vyšetření ve 20.-22. týdnu dle FMF protokolu
Podmínky FMF certifikace pro vyšetření UZ vyšetření ve 20.-22. týdnu:
Účast na Světovém kongresu pořádaném FMF a FMF Pokročilého kurzu fetální medicíny (nebo dva teoretické FMF certifikované kurzy u MUDr. Veronika Frisová) Zaslání logbooku snímků z UZ vyšetření jednoho plodu ve 20.-22. týdnu Přezkoušení FMF uznávaným (možno lokálním) školitelem ze znalostí a dovedností týkajících se UZ vyšetření ve 20.-22. týdnu těhotenství
Teoretické FMF certifikované kurzy MUDr. Veroniky Frisové probíhají ve spolupráci s firmou Nimotech 2 x ročně. Praktický kurz s nácvikem dovedností a vysvětlením principů UZ vyšetření ve 20.-22. týdnu těhotenství je možno absolvovat v našem centru u MUDr. Veroniky Frisové, Ph.D. MUDr. Veronika Frisová je uznávanou mezinárodní FMF školitelkou. Na základě kurzů Vám budou vystaveny FMF certifikáty a po splnění podmínek Doporučující dopis pro udělení FMF certifikátu z Londýna. Pro bližší informace neváhejte MUDr. Frisovou kontaktovat.

Ukázka správného snímku zobrazujícího Dopplerovské vyšetření uterinních arterií.

Dopplerovské vyšetření průtoku krve v arteria umbilicalis

Dopplerovské vyšetření průtoku v arteria cerebri media

Dopplerovské vyšetření průtoku ductus venosus
Dopplerovské UZ vyšetření dle FMF protokolu
Podmínky FMF certifikace pro Dopplerovské vyšetření:
On-line teoretický kurz (e-teaching) o antenatálním vyšetření stavu plodu na www.fetalmedicine.com (část Fetal Medicine Foundation- volba Training & Certification v menu na horní liště, následně položka Certificates of competence – volba modré položky Doppler ultrasound) Zaslání logbooku následujících čtyř snímků: Snímek z Dopplerovského (kombinace barevného a současně pulsního) vyšetření normálního nebo abnormálního průtoku v uterinních arteriích ve druhém či třetím trimestru těhotenství Snímek z Dopplerovského (kombinace barevného a současně pulsního) vyšetření normálního nebo abnormálního průtoku v pupečníkové arterii ve druhém či třetím trimestru těhotenství Snímek z Dopplerovského (kombinace barevného a současně pulsního) vyšetření normálního nebo abnormálního průtoku v arteria cerebri media ve druhém či třetím trimestru těhotenství Snímek z Dopplerovského (kombinace barevného a současně pulsního) vyšetření normálního nebo abnormálního průtoku v ductus venosus ve druhém či třetím trimestru těhotenství

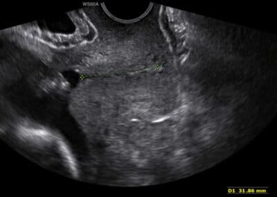
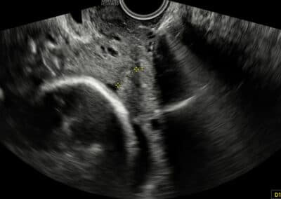
Vyšetření délky kanálu děložního hrdla – normální nález

Vyšetření délky kanálu děložního hrdla – normální nález
UZ vyšetření délky děložního čípku dle FMF protokolu
Podmínky FMF certifikace pro vyšetření délky děložního hrdla (cervikometrii):
On-line teoretický kurz (e-teaching) o vyšetření děložního hrdla na www.fetalmedicine.com (část Fetal Medicine Foundation- volba Training & Certification v menu na horní liště, následně položka Certificates of competence – volba modré položky Cervical assessment) Zaslání logbooku dvou snímků a sice normálního a krátkého (méně než 20mm) děložního hrdla
FMF certifikát na provádění invazivních výkonů
Účast na Světovém kongresu pořádaném FMF a FMF Pokročilého kurzu fetální medicíny Zaslání logbooku minimálně 40 invazivních výkonů Praktické přezkoušení FMF uznávaným školitelem z provádění invazivních výkonů a teoretické přezkoušení FMF školitelem ze znalostí indikací, rizik a limitací invazivních výkonů
Seznamy aktuálně FMF certifikovaných lékařů v České republice
Vyšetření NT (nuchální translucence) v 11.-14.týdnu těhotenství: Certifikovaní: https://fetalmedicine.org/lists/map/certified/NT Akreditovaní s prokázanou víc než roční zkušeností: https://fetalmedicine.org/lists/map/certified/NT-specialist Vyšetření nosní kůstky v 11.-14.týdnu těhotenství: https://fetalmedicine.org/lists/map/certified/NB Vyšetření trojcípé srdeční chlopně v 11.-14.týdnu těhotenství: https://fetalmedicine.org/lists/map/certified/TR Vyšetření ductus venosus v 11.-14.týdnu těhotenství: https://fetalmedicine.org/lists/map/certified/DV Screeening preeklampsie a zaostávání růstu budoucího miminka v 11.-14. týdnu těhotenství: https://fetalmedicine.org/lists/map/certified/Ut Screening vrozených vad plodu v 18.-23. týdnu těhotenství: https://fetalmedicine.org/lists/map/certified/fetal-abnormalities Fetální echokardiografie (detailní vyšetření srdíčka budoucího miminka): https://fetalmedicine.org/lists/map/certified/fetal-echocardiography Screeening předčasného porodu: https://fetalmedicine.org/lists/map/certified/cervical-assessment Dopplerovské vyšetření krevního oběhu plodu a placenty: https://fetalmedicine.org/lists/map/certified/fetal-doppler-ultrasound Invazivní výkony (CVS, amniocentéza): https://fetalmedicine.org/lists/map/certified/invasive-procedures Lékaři s déletrvajícím pobytem a školením ve Fetal Medicine Foundation v Londýně: https://fetalmedicine.org/lists/map/certified/training-fellowship Diplom fetální medicíny: https://fetalmedicine.org/lists/map/certified/training-fellowship
